设为首页收藏本站

安而遇随-随遇而安

 找回密码
 立即注册

QQ登录

只需一步,快速开始

搜索
查看: 865|回复: 0

眼袋没了整个人精神了好多

[复制链接]
发表于 2022-12-27 20:07 | 显示全部楼层 |阅读模式

马上注册,结交更多好友,享用更多功能,让你轻松玩转社区。

您需要 登录 才可以下载或查看,没有账号?立即注册

x
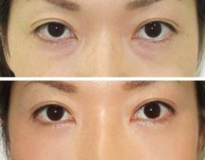
从眼 袋在我脸上生根时,我就想立刻、马上它去掉,可是想法和现实总是背道而驰的,我用尽了办法,还是只能接受眼 袋大大的事实。朋友们都说去眼 袋最根本的方法是手术,我了解的手术有开 刀切除眼 袋和激光去除眼 袋两种方法。可是我痛觉神经很敏感,接受不了这些去眼 袋的手术。我以为手术去除眼 袋已经与我无缘了。可是重庆超 雅的超 声 波去眼 袋出现,让我有了希望。首先超 声 波祛眼 袋让我满意的是不开 刀,无痛,不打麻药,而且安全恢复也快速。



开始的时候由于对超 声 波祛眼 袋不了解,在网上打听了很久,了解到它的具体功能疗法后,我就决定去重庆超 雅医 疗研究所做超 声 波祛眼 袋了。为此,我还特地请了假,飞到了重庆。到了重庆超 雅医 疗研究所,因为有提前预约这个超 声 波祛眼 袋手术,所以没等多久我就可以进手术室做手术了,刚开始有点紧张,不过医 生很温和还和我聊天,所以我好多了,而且手术过程中真的*没有疼痛,像按摩的感觉也让我很享受,大概四十分钟左右吧,超 声 波祛眼 袋手术就好了,然后就开始敷眼膜,眼膜冰冰凉凉的,很舒服,敷大概半个小时左右之后,眼膜取掉时还有点不习惯呢。



手术完成后,我就回到了酒店休息,照了镜子感觉超 声 波祛眼 袋的效果还是不错的,眼 袋基本消失了,就是有一点红肿,医 生说用不了一周就会消掉的,于是我就放心的在重庆玩了几天,毕竟请了一周的假嘛哈哈哈。第三天我的眼睛红肿就消失啦,也就准备启程回家了,眼 袋没了整个人也精神了好多,大家都夸我没了眼 袋从小美 nv变成大美 nv了。



如果让我再选一次,我还是会毫不犹豫的选择超 声 波去眼 袋,毕竟它真的好安全,不用开 刀不痛,恢复还这么快。最近市面上好多的假冒的超 声 波去眼 袋,目前只有重庆超 雅及其分点才能做得。因为这个超 声 波去眼 袋是梁医 生(1 3 2 7 1 8 9 3 0 9 3\/信:cqcymr99)和彭医 生(电 话:18680801889 \/信:pw18680801889)的专利技术,是申请了*专利的。


(超雅徽信,c q c y z x m r 2 2,c q c y z x m r 1 1,)
北 京 超 雅-太平街6号富力摩根中心E705
深 圳超雅-南庆街1号东门汇商名苑1018
重 庆 超 雅-北城天街2号观音桥阳光大厦24楼
随遇而安
您需要登录后才可以回帖 登录 | 立即注册

本版积分规则

快速回复 返回顶部 返回列表