设为首页收藏本站

安而遇随-随遇而安

 找回密码
 立即注册

QQ登录

只需一步,快速开始

搜索
查看: 1246|回复: 0

超声波双眼皮,成为女神的秘诀

[复制链接]
发表于 2022-3-19 15:36 | 显示全部楼层 |阅读模式

马上注册,结交更多好友,享用更多功能,让你轻松玩转社区。

您需要 登录 才可以下载或查看,没有账号?立即注册

x
老公说只有漂亮的女生才能算女神,我这样的单眼 皮妹子只能是小家碧玉而已。说实话,我觉得自己的五官还是很好看的,鼻子够挺,嘴唇也好看,就连眼睛都明亮有神,*的不足就是浮肿难看的单眼 皮了,朋友去做了超 声 波双 眼 皮手术,还挺好看的,我也想试试。



  明明眼睛不算小,却是单眼 皮,世界上怎么会有这么奇怪的事情呢?朋友做完超 声 波双 眼 皮手术之后,整个人都不一样了,刚离婚的她竟然也有了好多个追求者,她的五官还没有我好看呢,既然她做超 声 波双 眼 皮手术都能变漂亮,我说不定也能成为女神呢。



  朋友是在超 雅医 疗美 容会所做的手术,有她冲锋陷阵,我也知道该去哪里比较保险了,哈哈,开个玩笑而已。到了超 雅之后,我就和朋友介绍的梁医 生见面了,听梁医 生说我做完超 声 波双 眼 皮手术之后,眼睛会最加好看,弄得我超级期待术后效果了。



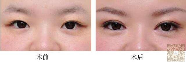
  检查、调整眼型之后,接下来就可以直接进行手术了,因为利用的是超 声 波技术,所以做这个超 声 波双 眼 皮手术*没有创伤、恢复期也特别短,不会像其他手术那样,做完之后还要当半个月的%26lsquo;猪头%26rsquo;。



  平时我连长个痘痘都有大惊小怪的,做完超 声 波双 眼 皮手术之后发现只是有些红肿而已,我自己也偷偷松了一口气,要是创伤很明显,回到家肯定会吓到我老公的,我可不想在没成为女神之前,就让自己成为他的恶梦。现在做完超 声 波双 眼 皮手术已经一个多月了,双 眼 皮恢复的非常好,而且非常自然,每次化完妆之后,老公都会喊我女神,看到他越来越爱我,我心里也很感谢超 声 波双 眼 皮手术。
(超 雅 \/信,c q c y z x m r 2 2,c q c y z x m r 1 1,)
北 京 超 雅-太平街6号富力摩根中心E705
深 圳 超 雅-南庆街1号东门汇商名苑1018
重 庆 超 雅-北城天街2号观音桥阳光大厦24楼
随遇而安
您需要登录后才可以回帖 登录 | 立即注册

本版积分规则

快速回复 返回顶部 返回列表